Hand surgery
There's a cube-shaped bone at the base of the thumb called the trapezium. I had developed arthritis in the joint between the trapezium and the first bone of the thumb, which means the cartilage on the facing surfaces of those bones had worn away.
|
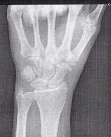
You can see the arthritis in this x-ray because there is no space between those two bones (red arrow). The cartilage that separates two bones will show up as a space between the bones in an x-ray because it isn't as dense as bone. As you can see, there's no space here. There was bone-on-bone contact. The surgery was on June 6th, 2014. |
|
Here's a post-surgery x-ray. The trapezium was removed and replaced with a flexible plastic (maybe nylon or some other appropriate material) appliance. It has a cone shape on the end that was inserted into the end of the first bone of the thumb. |
|
Here I have (roughly) outlined the appliance. This is exactly the same x-ray as the one above, so you can see the shape of the appliance here and then look for it in the second picture. |
|
The first cast was removed about 2 weeks after the surgery. You can see the z-shaped incision where the main work was done. The doctor also made a 2-inch incision on the bottom of my arm to harvest a piece of tendon that was used to secure the appliance. |